Integrated Therapy IP
牙科複雜病人常需要多個專科協同診斷和治療
牙科各專科分工:
1 齒顏矯正科
2 修復專科
3 植牙專科
4 牙周病科
5 口腔外科
6 牙髓病科
7 高齡牙科
口腔有各種疾病,要怎麼治呢?
牙害不分老中青,壞牙對健康、容顏的傷害不是老人的專利
各科都有問題:根管治療、口腔外科、牙周病科、矯正治療、修復治療
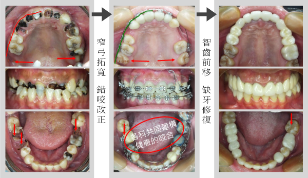
案例一






幸福人生從齒起

健齒養顏 開心樂活
天泉專科團隊協同診治 求精求速
成人和老年人口腔疾病情況,常常不像年青人簡單的蛀牙補洞,大多數都存在嚴重的牙周病,牙齒動搖、拔除、牙齒移位殘缺和牙床萎縮肌力弱化等問題。
治療可能同時需要根管治療和牙周病科、義齒科、矯正科、植牙科等不同專科醫師協同診斷和各科流程管控(統合治療),
才能得到最佳最速的效果。

案例二










天泉專科統合治療
牙科複雜病人常需要多個專科協同診斷和治療
| 管咬合 | 1 修復專科——梁廣庫 林慧心 2 口腔顎面外科–劉青華 3 齒顏矯正科—-楊慧瑛 |
| 強根基 | 4 植牙專科–程式康 劉青華 趙旭昇 辛澤達 5 牙周病科–辛澤達 6 牙髓病科–陳春妙 林玉芬 |
| 改齒顏 | 7 齒顏牙科–梁廣庫 林慧心 8 高齡牙科–趙旭昇 陳春妙 |
聞道有先後
術業有專工
科科都作就難專精
多專科協同診治才有統合治療
單一專科-個人診所無法統合治療

發佈留言